Pani Joanna – taksówkarka z kilkuletnim doświadczeniem, mama, żona i babcia – to kobieta niezwykle aktywna, która każdego dnia spotyka wielu ludzi, prowadzi rozmowy i dzieli się pozytywną energią.
Przez wiele lat jednak problemy z uzębieniem utrudniały jej codzienne funkcjonowanie. Z czasem zwykłe czynności, takie jak jedzenie czy rozmowa, stały się coraz trudniejsze.
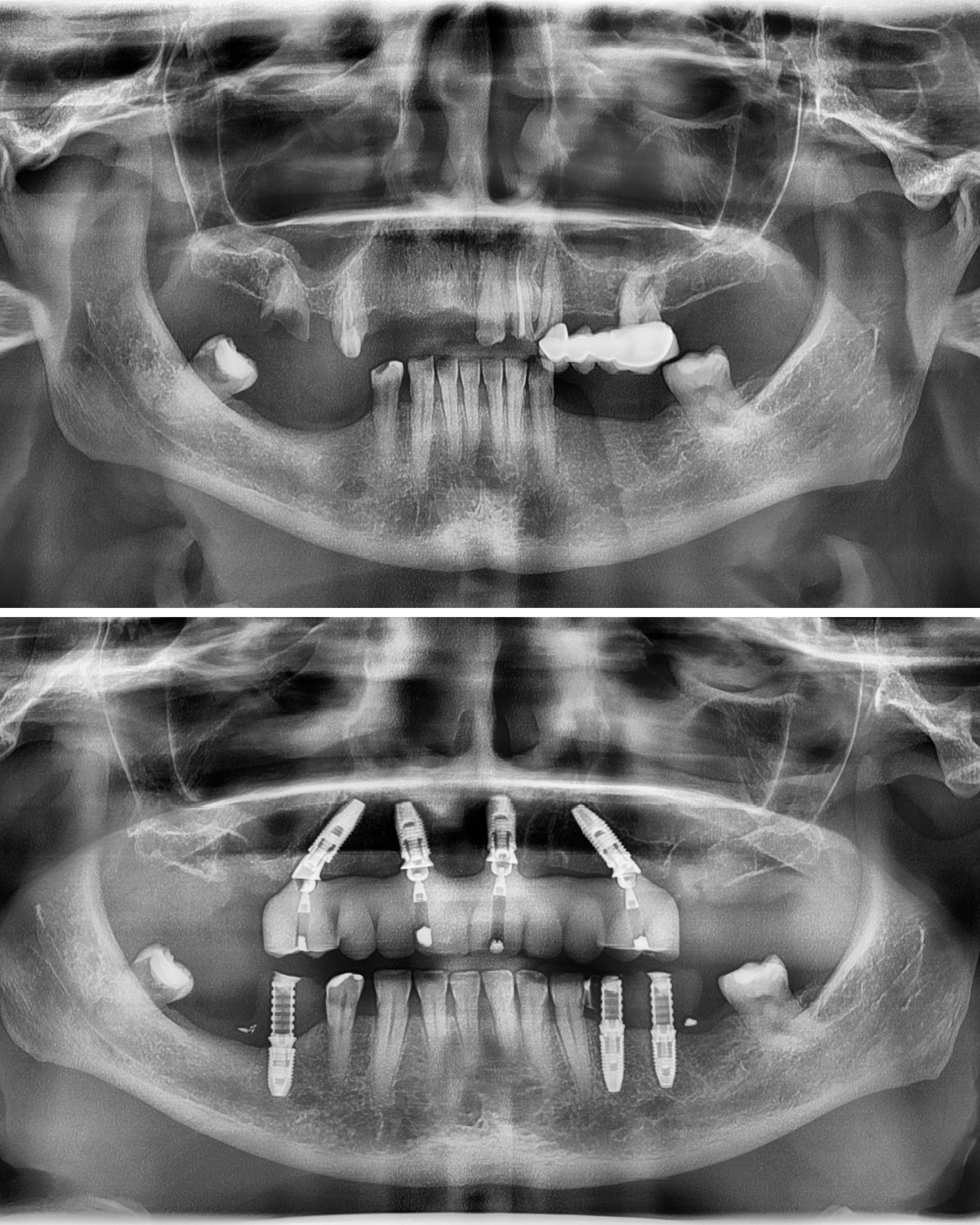
Pierwsze problemy pojawiły się już w wieku trzynastu lat. Zaczęło się od przetok w przednich zębach, a w kolejnych latach stan uzębienia stopniowo się pogarszał. W 2008 roku, pijąc kawę, dwa zęby wypadły niespodziewanie. Był to moment, który uświadomił Pani Joannie, że potrzebne jest trwałe rozwiązanie.
Kolejne lata przyniosły nowe trudności. W 2021 roku, podczas swojego drugiego ślubu, doszło do sytuacji, której nikt się nie spodziewał – wypadła jej proteza. To wydarzenie skłoniło Panią Joannę do podjęcia decyzji o rozpoczęciu kompleksowego leczenia.
Konsultacja kwalifikująca do zabiegu.
Po konsultacji w MALO CLINIC Warszawa i wykonaniu pełnej diagnostyki Pani Joanna została zakwalifikowana do leczenia metodą Malo Clinic Protocol.
To nowoczesne rozwiązanie pozwala na odbudowę całego łuku zębowego w jeden dzień – bez konieczności przeszczepu kości.
Zanim jednak przystąpiła do zabiegu, Pani Joanna przygotowała się do tego kroku bardzo świadomie. Ułożyła sobie plan, wiedząc, że ten etap może odmienić jej codzienność – od posiłków po zwykłe rozmowy z bliskimi.
Zabieg w Malo Clinic – nowe zęby w jeden dzień
Zespół specjalistów MALO CLINIC przeprowadził zabieg metodą Malo Clinic Protocol, obejmujący usunięcie zębów nienadających się do leczenia, wprowadzenie czterech implantów oraz zamocowanie stałego mostu tymczasowego MAAB (Malo All Acrylic Bridge™ tego samego dnia. Cały proces wykonano z wykorzystaniem technologii cyfrowej – fotogrametrii, planowania komputerowego i druku 3D – co zapewnia maksymalną precyzję i naturalny efekt odbudowy.


Nowy uśmiech bez protezy.
Dziś Pani Joanna wróciła do codziennych obowiązków i aktywności zawodowej. Dzięki nowemu uśmiechowi czuje się swobodniej w kontaktach z ludźmi i może wykonywać swoją pracę bez ograniczeń.
Podkreśla, że decyzja o leczeniu była jedną z najważniejszych w jej życiu i pozwoliła jej odzyskać komfort w codziennych czynnościach.
MALO CLINIC - Nowe zęby w 1 dzień
Bo uśmiech to nie tylko zęby. To pewność siebie, zdrowie i szczęście.
Oferta specjalna - „Zacznij od uśmiechu”
Dla pacjentów zainteresowanych leczeniem metodą Malo Clinic Protocol dostępna jest aktualnie specjalna oferta:
-20% rabatu na zabieg dla osób indywidualnych po pozytywnej kwalifikacji medycznej: https://maloclinics.pl/aktualnosci/zacznij-od-usmiechu-20-rabatu-na-leczenie-metoda-malo-clinic-protocol-all-on-4-r
więcej na temat kosztów zabiegu Malo Clinic Protocol https://www.maloclinics.pl/aktualnosci/koszty-leczenia-metoda-malo-clinic-protocol-all-on-4-r
możliwość płatności i raty zabiegu https://www.maloclinics.pl/aktualnosci/all-on-4-w-malo-clinic-dostepne-formy-platnosci
Uwaga: każdy pacjent przed przystąpieniem do leczenia przechodzi pełną diagnostykę medyczną, której wyniki decydują o możliwości wykonania zabiegu.
Promocja dotyczy jedynie osób, które zostaną zakwalifikowane do leczenia.
👉Nie wiesz, czy się kwalifikujesz?
Konsultacje kwalifikujące do zabiegu Malo Clinic Protocol techniką All-on-4® odbywają się:
w Malo Clinic w Warszawie,
w Punktach Konsultacyjnych Malo Clinic w Rzeszowie, Szczecinie i we Wrocławiu.
https://www.maloclinics.pl/kontakt
T: +48 22 393 63 33
T: +48 516 039 713